おかげさまで開設25周年ALBAREQ-TRUCKS.COM 創業祭

ALBAREQ-TRUCKS.COM

詳しくはこちら
マイストア マイストア 変更
  • 即日配送
  • 広告
  • 取置可能
  • 店頭受取

HOT ! その他 anmenmin tomochin_zn6 | AIMGAIN86🚗 激ソニイベント🏁 🚗 @masayan86

※ALBAREQ-TRUCKS.COM 限定モデル
YouTuberの皆様に商品の使い心地などをご紹介いただいております!
紹介動画はこちら

ネット販売
価格(税込)

12180

  • コメリカード番号登録、コメリカードでお支払いで
    コメリポイント : 8ポイント獲得

コメリポイントについて

購入個数を減らす
購入個数を増やす

お店で受け取る お店で受け取る
(送料無料)

受け取り店舗:

お店を選ぶ

近くの店舗を確認する

納期目安:

13時までに注文→17時までにご用意

17時までに注文→翌朝までにご用意

受け取り方法・送料について

カートに入れる

配送する 配送する

納期目安:

2026.01.10 0:24頃のお届け予定です。

決済方法が、クレジット、代金引換の場合に限ります。その他の決済方法の場合はこちらをご確認ください。

※土・日・祝日の注文の場合や在庫状況によって、商品のお届けにお時間をいただく場合がございます。

即日出荷条件について

受け取り方法・送料について

カートに入れる

欲しいものリストに追加

欲しいものリストに追加されました

その他 anmenmin tomochin_zn6 | AIMGAIN86🚗 激ソニイベント🏁 🚗 @masayan86の詳細情報

tomochin_zn6 | AIMGAIN86🚗 激ソニイベント🏁 🚗 @masayan86。Anti-Menin antibody [EPR3986] (ab92443) | Abcam。MEGAGEN / ZrGEN Abutment [BD] NC φ4.0 / C.H=0.6 / P.H=4.5 / Octa。AN3660-81L | シチズン(CITIZEN) – 腕時計のななぷれ。インロン4kg/2ノル2kg/4
  • tomochin_zn6 | AIMGAIN86🚗 激ソニイベント🏁 🚗 @masayan86
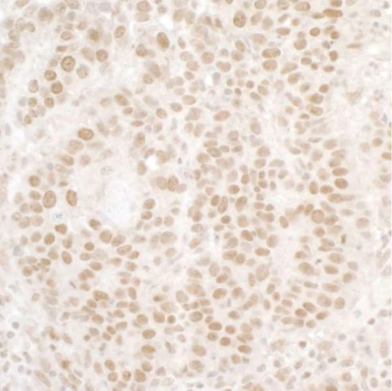
  • Anti-Menin antibody [EPR3986] (ab92443) | Abcam
  • MEGAGEN / ZrGEN Abutment [BD] NC φ4.0 / C.H=0.6 / P.H=4.5 / Octa
  • AN3660-81L | シチズン(CITIZEN) – 腕時計のななぷれ

同じカテゴリの 商品を探す

ベストセラーランキングです

このカテゴリをもっと見る

この商品を見た人はこんな商品も見ています

近くの売り場の商品

このカテゴリをもっと見る

カスタマーレビュー

オススメ度  4.8点

現在、6518件のレビューが投稿されています。